Gamba

Gamba este regiunea anatomica situata intre genunchi si glezna.
Ea este formata din tibie, situata in partea din fata, inspre
median si peroneu (fibula) situat lateral.
Aceste doua oase sunt unite de membrana interosoasa si in partea
inferioara formeaza cele 2 maleole: capatul inferior al tibiei
formeaza maleola interna iar capatul inferior al peroneului
maleola externa. Printre cei mai mari muschi care formeaza gamba
sunt tibialul anterior in partea anterioara si tricepsul sural in
partea posterioara. Leziunile osoase si cele musculare sunt cele
mai comune la acest nivel.
Cuprins
- Afectiuni frecvente
- fractura de tibie sau peroneu
- leziuni musculare
- Afectiuni cronice
- fractura de stress
- Interventii chirurgicale
- fractura de tibie sau peroneu (fibula)
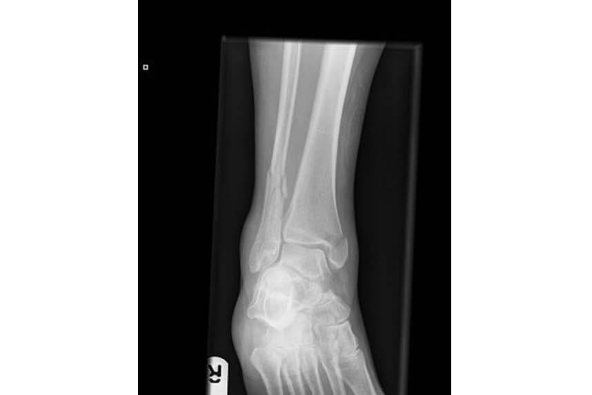
Afectiuni frecvente
Fractura de tibie sau peroneu
![]()
Prin fractura intelegem o intrerupere a continuitatii osoase. Fracturile apar in momentul in care fortele care sunt aplicate pe un segment depasesc capacitatea acestuia de a opune rezistenta. Exista mai multe modalitati de a descrie o fractura:
- In functie de modalitatea de fracturare pot fi traumatice sau patologice (in special la varstnici din cauza osteoporozei sau in cazul bolii oaselor de sticla)
- In functie de modul de producere poate fi directa sau indirecta
- In functie de tiparul dupa care se rupe osul pot fi: transverse, oblice, spiralate sau longitudinale
- In funtie de fragmentele osoase rezultate pot fi compacte sau cominutive
- In functie de afectarea sau nu a pielii pot fi inchise sau deschise (osul iese in afara pielii)
- In functie de cat s-a rupt din os pot fi complete sau incomplete (fisuri)
- In functie de stabilitatea fracturii pot fi stabile sau instabile
Simptomele tipice ale unei fracturi sunt durerea, rigiditatea
articulara, impotenta functionala si hematomul. Diagnosticul este
de obicei confirmat prin raze X, iar tratamentul de urgenta este
dat la primul ajutor.
Dupa imobilizare este foarte important sa se inceapa un tratament
recuperator personalizat. Recuperarea initiala are ca scop
reducerea inflamatiei si a durerii, dupa care sa creasca cat mai
mult mobilitatea articulara si forta musculara. Recuperarea
graduala a fortei musculare si coordonarii sunt fundamentale
pentru a avea o refacere functionala maxima.
Leziuni musculare
![]()
Leziunile musculare sunt printre cele mai comune
accidentari in medicina sportiva. De cele mai multe ori ele se
intampla la finalul unui meci de tenis, in prelungirile unei
partide de fotbal sau la finalul unui turneu intens cand apare un
sentiment de oboseala in musculatura, dar jucatorii continua sa
traga de ei pentru a finaliza meciul. Leziunile musculare pot
aparea si in urma unei contre serioase in timp ce jucatorul era
in plina actiune. De cele mai multe ori aceste contre ii obliga
pe jucatori sa paraseasca terenul de joc.
Toate acestea conduc la „faimoasele” accidentari musculare, care
in cele mai multe cazuri creeaza confuzie si neincredere, dar in
acelasi timp reprezinta pana la 30% din toate accidentarile
sportive.
Toate intreruperile de activitate aduc pe buze faimoasele
intrebari:
- In cat timp pot reveni la ceea ce faceam inainte?
- Cat timp dureaza recuperarea?
In primul rand trebuie sa fie clar ca cele prezentate in acest
material sunt dor linii generale de tratament, care trebuie
adaptate particularitatilor fiecarui client in parte si indrumate
de un medic specialist.
Leziunile musculare pot surveni in urma unui contact direct
(loviturile traumatice directe – contuzii) sau in urma unei
miscari gresite (traumatisme indirecte).
Contuziile sunt usor de diagnosticat, datorita faptului ca se
stie exact cand s-a produs traumatismul, de obicei dupa un
contact direct cu un oponent sau cu un obiect. In aceste cazuri,
in functie de incapacitatea functionala data de contuzie acestea
sunt definite ca fiind usoare (amplitudinea de miscare este peste
50% din cea normala), moderate (intre 1/3 si jumatate din
amplitudine) sau severa (mobilizarea se face cu dificultate si nu
mai mult de 1/3 din amplitudinea de miscare). Cand avem contuzii
severe cu cat incepeti mai repede Kinetoterapia cu atat mai
repede va veti relua activitatile dorite.
Clasificarea traumatismelor indirecte este in schimb mult mai
complexa.
Daca durerea este insotita de o crestere a tonusului muscular si
apare la finalul activitatii sportive, este cel mai probabil o
contractura musculara cu scurtare. In schimb, daca durerea este
usor de localizat, se intensifica in timpul activitatii sportive
si face activitatea dificila daca nu chiar imposibila, este
foarte probabil sa avem de a face cu o intindere musculara. O
intindere musculara nu este insotita de intreruperea
continuitatii musculare la nivel microscopic. Si in acest caz, cu
cat incepeti recuperarea mai rapid cu atat mai repede va avea loc
revenirea.
Leziunile propriu-zise ale tesutului muscular (de gradul 1, 2 sau
3 ) sunt cele care necesita timpi de recuperare mai indelungati.
In aceste cazuri avem o leziune anatomica reala ce difera ca si
gravitate in functie de cantitatea de tesut muscular afectat si
de localizare. Este destul de usor sa identifici o ruptura
musculara reala deoarece durerea resimtita este una acuta si
survine in urma unui gest tehnic specific. Puteti chiar
identifica cu usurinta localizarea rupturii.
Impotenta functionala este direct proportionala cu severitatea
accidentarii. Diagnosticarea este data de un examen clinic, dar
poate fi ajutata de un examen RMN facut la 24/48 ore post
traumatism. Tratamentul trebuie sa ia in considerare gradul si
localizarea leziunii si stilul de viata al pacientului. Pe
parcursul programului kinetoterapeutic se poate urmarii evolutia
prin ecografii de tesut muscular si trebuie tinut cont de
localizare si marime pentru a nu face greseli in recuperare.
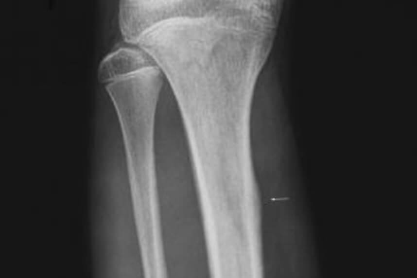
Afectiuni cronice
Fractura de stres
![]()
Fracturile de stres sunt foarte frecvente la sportivii de
performanta. Acestea au loc datorita incarcarii repetate a
osului.
Diagnosticul se pune in urma unui examen clinic foarte precis in
care se tine cont de modificarile stilului de antrenament sau
incarcare in timpul antrenamentului. Exista mai multi factori
predispozanti care pot creste posibilitatea aparitiei unei
fracturi de stres, printre acestia se enumera si exersarea pe
suprafete dure, variatia calitativa si cantitativa a incarcarii
in functie de sex si varsta.
Cei mai afectati de acest tip de fracturi sunt alergatorii de
distante lungi, soldatii si varstnicii. La aproximativ 2-3
saptamani dupa producerea fracturii initiale, durerea devine
insuportabila iar pacientii nu gasesc alta solutie decat sa
intrerupa in totalitate, sau aproape in totalitate activitatea
fizica. Diagnosticarea trebuie facuta cu multa grija deoarece pot
fi cazuri unde timp de 14-15 zile fractura nu este vizibila la
radiografii. Din acest motiv se recomanda efectuarea unui CT sau
RMN pentru a confirma diagnosticul si a evalua gravitatea
acestuia.
Tratamentul difera in functie de localizare si intensitatea
fracturii si poate varia de la o perioada scurta de imobilizare
concomitenta cu inceperea kinetoterapiei, la o imobilizare de
lunga durata in aparat gipsat si in unele cazuri chiar o fixare
chirurgicala.
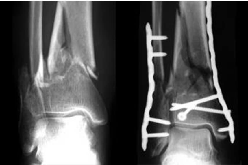
Interventii chirurgicale
Fractura de tibie sau peroneu (fibula)
![]()
Tratamentul de urgenta pentru fracturi la nivelul tibiei sau peroneului (fibulei) este acordat de medicul specialist in cadrul primului ajutor. Acesta va hotari daca este nevoie de o reducere a fracturii sau de o fixare chirurgicala de catre un medic chirurg ortoped. Dupa acestea este foarte important sa se inceapa un program kinetoterapeutic precoce, personalizat imediat dupa externare.
Centrokinetic este locul in care vei gasi raspunsuri si solutii clare pentru problemele de motricitate. Clinica dedicata afectiunilor osteoarticulare este impartita in urmatoarele departamente specializate:
- Ortopedie, departament compus dintr-o echipa de medici ortopezi extrem de experimentata, specializati in traumatologie sportiva.
- Ortopedie pediatrica, unde sunt tratate afectiunile sportive ale copiilor (leziuni ligamentare si de menisc), deformarile coloanei (scolioza, cifoza, hiperlordoza) si cele ale picioarelor (hallux valgus, hallux rigidus, picior var equin, picior plat valg, picior cav).
- Neurologie, ce dispune de un departament ultraperformant, unde sunt efectuate consultatii, electroencefalograme (EEG) si electromiografii (EMG).
- Recuperare medicala pentru adulti si copii, departament specializat in recuperarea sportivilor de performanta, in afectiunile coloanei vertebrale, in recuperarea copiilor cu afectiuni neurologice si traumatice. Experienta noastra este extrem de bogata, tratand peste 5000 de sportivi de performanta.
- Imagistica medicala, clinica fiind dotata cu ecograf si RMN, aparate performante dedicate afectiunilor musculoscheletale, si completata de un radiolog experimentat: Dr. Cosmin Pantu, specializat in imagistica musculo-scheletala.
- Reumatologie, departament complet care se ocupa cu diagnosticarea, tratarea si recuperarea bolnavilor cu afectiuni nechirurgicale ale aparatului locomotor.
- Chirurgie vasculara, departament supraspecializat in diagnosticarea si tratamentul bolilor sangvine, adica a arterelor, venelor si a vaselor limfatice.
- Psihologie si logopedie. Afectiunile neurologice sau osteoarticulare pot avea un impact psihologic asupra pacientului, de aceea consideram ca vindecarea completa presupune focusarea noastra atat asupra problemei osteoarticulare, cat si asupra consecintelor psihologice.
- Neurofeedback. Aceasta metoda revolutionara te ajuta sa-ti imbunatatesti concentrarea, sa reduci anxietatea si sa dobandesti un echilibru emotional, toate printr-un proces simplu si interactiv.
Afla noutatile urmarind conturile de Facebook, Instagram si YouTube ale clinicii Centrokinetic.
MEDICI
BUCURESTI
MEDICI
CLUJ-NAPOCA
MEDICI
BRASOV
PROGRAMEAZA-TE
LA O CONSULTATIE
Vezi aici modalitatile de programare si localizarea clinicii
PROGRAMARE
Asiguratori privati





Parteneriate































































































































