Vezi detalii
CITESTE MAI MULTCentrokineticeste cea maiperformantaclinicamedicaladedicata afectiunilor osteoarticularedin Bucuresti,avand urmatoarele specializari medicale: ortopedie, neurologie, imagistica medicala, recuperare medicala, reumatologie, nutritie si psihologie, dedicata atat adultilor cat si copiilor.
Conceputa, creata si condusa de unul dintre cei mai renumiti medici ortopezi din Romania,dr. AndreiIoanBogdan, clinica are la baza un concept unicde obtinerea cat mai rapida a unui diagnostic corect prin metode performante de investigatii (RMN, ecografie musculo-scheletala, EEG, EMG, osteodensitometrie), si initierea unui tratament complet pana la vindecarea pacientului.
Echipa Centrokinetic este formata dinmedici supraspecializati in afectiunile osteoarticulare. Ceea ce ne deosebeste de alte sisteme este metoda de colaborare medicala si protocoalele pe care le folosim, astfel incat toti medicii echipei folosesc aceeasi algoritmi de tratament, implementati din cele mai prestigioase clinici din lume.
Echipa noastra, prindr. Pantu
Cosmin, medic
specialist radiolog si sef lucrari Universitatea de Medicina si
Farmacie Carol Davila, va prezinta un articol despre anatomia
genunchiului.
Articulatia patelofemorala
Se mentioneaza frecvent articulatia patelofemorala ca mecanism extensor. Desi adevarat ca actiunea concentrica a acestei unitati motorii este extensia genunchiului, functional, cvadricepsul actioneaza excentric in timpul mersului, alergare sau sarituri. Desi este tinit mai putin in timpul tratamentului, mecanismul extensor poate fi implicat in cazuri de luxatie a genunchiului, cum ar fi fractura condilului femural lateral prin avulsia retinacul lateral care apare intr-o luxatie posterolaterala sau in leziunile m. vastus medialis obliquus si vast medial care poate aparea concomitant cu alte leziuni ligamentare capsulare. In plus, o cunoastere a raspunsului lezional al garsimii retrocvadricipitale sau infrapatelare Hoffa ajuta la pregatirea chirurgului pentru a face fata cu succes sechelelor secundare ale unei luxatii ale genunchiului.

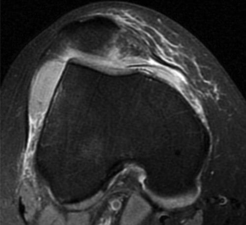
Fig. 1. CAPSULA ARTICULARA
Sectiune transversal IRM FSE PD.

Fig. 2. TENDON ROTULIAN - vedere anterioara
Imagine de disectie ce evidentiaza asepctul tendonului patelar din vedere anterioara. Remarcam cele doua insertii, patelara si tibiala.Distal este separat de tuberozitatea tibiala prin bursa infrapatelara. Tendonul patelar cuprinde un strat superficial, care este contigu cu strat retinacular si un strat mai profund, care este considerat parte a mecanismului extensor al genunchiului. Aceste straturi sunt in mare masura aderente, asemanator insertiei tendonului subscapularului pe capsula anterioara a articulatia umarului.

Fig. 3. TENDONUL ROTULIAN - aspect normal IRM al insertiei proximale
Sectiune coronala IRM ce evidentiaza insertria proximala a tendonului patelar

Fig. 4. TENDONUL ROTULIAN – disectie - vedere
laterala
Atat din imaginile anatomice, cat si cele imagistice, putem
observa ligamentul rotulian ca pe o formatiune fibroasa,
puternica (5-6 cm lungime si 2-3 cm latime), situata anterior de
articulatie, avand forma triunghiulara ce se insera prin baza sa
pe varful patelei, iar prin varf pe tuberozitatea tibiei.
Acesta prezinta doua fete: anterioara, ce corespunde fasciei femurale, si posterioara, ce corespunde corpului adipos infrapatelar si bursei infrapatelare profunde.
In timpul mersului, in care se produce o rotatie interna, se realizeaza o verticalizare a tendonului patelar, ce il aduce pe aceeasi directie cu muschiul cvadriceps.
Grupul muscular al cvadricepsului formeaza unitatea motorie primara a aparatului extensor. Situat cel mai profund, m articularis genu, este singurul fascicul fibrilar care nu se insera direct in patella ci se termina superior pe o plica sinoviala ridicand si protejand patella de un eventual impingement. Vastul intermediar isi are originea larga pe suprafata anterioara a diafizei femurale si descinde si paralel cu axul femural. Tendonul sau distal, separat de tendonul dreptului femoral, situat mai superficial si separta de caesta do bursa discreta, cuprinde stratul profund al aponevrozei din aceasta zona si se insera direct pe polul superior al rotulei. M. drept femural (rectus femoris) are un traiect superficial si paralel cu m vast intermedius, dar se termina in stratul retinacular. M drept femural impreuna cu vastus medialis obliquus, vastus medialis, vastus lateralis si vastus lateralis oblic, se termina intr-o aponevroza care se contopeste cu capsula articulara. Acest strat se termina si este aderent la suprafata superficiala a rotulei si continua distal investind si cuprinzand portiunea superficiala a tendonul patelar devine in cele din urma contigu cu periostul tibial.
Iar in timpul miscarii de extensie tendonul rotulian este tensionat de catre muschiul cvadriceps, dar este relaxat in pozitie erecta. In ortostatismul simetric, mecanismele pasive descrise anterior conserva postura cu un minim de efort muscular, contractia activa a tendonului rotulian avand loc doar in posturi asimetrice (aplecare, ridicare de greutati).
https://centrokinetic.ro/i.php?p=fig.%2013.jpghttps://centrokinetic.ro/i.php?p=fig.%2013.jpg
Fig. 5. TENDONUL ROTULIAN - aspect imagistic IRM - vedere laterala
Sectiune IRM FSE PD. Vedere laterala a tendonului rotulian.
Remarcam cele doua insertii, patelara si tibiala.

Fig. 6. Tendonul patelar
Tendonul patelar se prezinta ca o formatiune fibroasa, puternica, lunga de 5-6 cm si lata de 2-3 cm, situata inaintea articulatiei. Are forma unui triunghi si se insera prin baza sa pe varful patelei, iar prin varf pe partea inferioara a tuberozitatii tibiei. Deoarece este considerat ca tendon terminal al muschiului cvadriceps, patela ar fi in acest caz un os sesamoid.
.png)
Fig 7. RETINACULELE MEDIAL SI LATERAL
Aripioarele patelei reprezinta doua bandelete fibroase intinse in plan orizontal si acoperite de expansiunea cvadrigeminala, ce se intind intre marginile patelei si condilii femurali.
Retinaculele pt fi comparate cu niste sine ce conduc patela, aripioarele avand rolul unor frauri.

Fig. 9. RETINACULUL MEDIAL
Retinaculul patelar medial, sau ligamentul patelofemural medial este parte a aparatului stabilizator medial al genunchiului. Acesta isi are originea intr-o arie situata intre epicondilul medial al femurului si tuberculul adductorului mare, superior originii componentei superficiale a ligamentului colateral medial. Atasamentul patelar ocupa 2/3 ale marginii patelare proximale, uneori insa se poate extinde pe intreaga patela. Insertia proximala a retinaculului se extinde pe tendonul cvadricepsului, in timp ce distal, ligamentul trece profund de fibrele oblice ale m. vast medial care se insera si acesta pe marginea mediala a rotulei. Ligamentul patelofemural medial se insera de asemenea si aponevroza muschiului vast intermediar si medial. Aceasta insertie complexa creeaza o aponevroza anatomica importanta pentru stabilitatea articulatiei patelofemorale, deoarece faciliteaza un sistem dinamic care ghideaza si impinge patela in santul trohlear in timpul flexiei active.

Fig. 10. RETINACULUL MEDIAL - vedere lateral
Putem observa raportul retinaculului cu tendonul muschiului vast
medial ce are o expansiune fibrilara separata ce poarta numele de
vast medial oblic. Acesta reprezinta cel mai important
stabilizator al retinaculului.

Fig. 11. RETINACULUL MEDIAL - insertia femurala
Anatomic, bandeleta transversala a ligamentului patelofemural medial (LPFM) este, de asemenea, o componenta a retinaculului medial, dar in scopul interpretarii RMN, conventia generala este de a descrie anomalii ale benzii transversale ca fiind leziuni ale LPFM, in timp ce leziunile mai distale care implica mai multe straturi sunt in general denumite anomalii ale retinaculului medial. Remarcam insertia segmentului transveral al LPFM impreuna cu fibrele adductorului mare in aria tubercului adductorului. De asemenea se descrie prezenta unui fascicul fibrilar oblic ce intersecteaza componenta superficiala a ligamemtului colateral medial. Putem obseva astfel ca insertia femurala nu se realizeaza intr-un punct ci, mai degraba, intr-o arie care poate fi extrem de variabila ca localizare si intindere.

Fig. 12. REPERUL RADIOLOGIC AL INSERTIEI FEMURALE A LIGAMENTULUI PATELOFEMURAL MEDIAL
Pe radiografia conventionala in incidenta laterala se poate indentifica insertia condilara a retinaculului sau puntul Schottle. Acesta se afla la intersectia a doua linii imaginare, una ce urmeaza conturul posterior al corticalei diafizare femurale (linia rosie), cea dea doua poate fi reprezentata de linia marginii posterioare a condilului medial (linia albastra) sau de linia Blumensaat (linia verde). Insertia (cercul galben) este localizata milimetric anterior de intersectiile acestor repere.
Retinaculul medial este cel mai bine vizualizat in sectiunile
axiale sau oblice, fiind descrisa ca o bandeleta in hiposemnal ce
se intinde postero-medial de la nivelul versantului medial al
patelei catre fata externa a condilului medial in vecinatatea
tubercului adductorului mare. La insertia sa patelara retinaculul
este ingrosat in mare parte datorita aportului fibrilar adus de
muschiul vast medial si de muschiul croitor. Catre insertia sa
femurala, aspectul pe sectiune transversal a ligamentului este
unul bilaminar, fiind evidente doua straturi, unul superficial si
altul profund. Acesta portiune a ligamentului este, dupa cum am
spus, denumita ligament patelofemural medial, parte a
retinaculului medial.

Fig. 13. Sectiune tranversala IRM STIR (cu anularea semnalului de grasime) ce evidentiaza insertiile si traiectul celor doua retinacule patelare

Fig. 14. Imagine IRM –T2 FS cu asepctul diferit al celor doua segmente ale retinaculului
Putem observa ca portiunea anterioara, corespunzatoare insertiei patelare (portiunea retinaculului propriu-zisa, marcata prin sageata rosie) are un aspect bine organizat fibrilar, dens, comparativ cu cea posterioara, femurala (sageata albastra), acolo unde decelam cele doua bandelete, superficiala si profunda ce iau parte la alcatuirea ligamentului patelofemural medial.

Fig. 15. RETINACULUL LATERAL - aspecte de disectie
Capsula articulara este perforata anterior de patela, dupa cum putem observa, pe a carei margini se si insera. Iar expansiunea cvadrigeminala reprezinta lama fibroasa ce se desprinde din tendoanele muschiului cvadriceps, trece apoi ca o perdea inaintea articulatiei genunchiului si se fixeaza pe tibie. Aceasta prezinta o serie de fibre verticale, pe marginile rotulei, care constituie de fapt retinaculele medial si lateral.

Fig. 16. RETINACULUL LATERAL - vedere intraarticulara
Ligamentul patelofemural lateral evidentiat la cadavru. Patela este reflectata lateral evidentiind astfel aspectul intraarticular al retinacului lateral.
In vederea evidentierii retinaculului lateral am recurs la un abord lateral la nivelul tractului iliotibial. Acesta a fost desinserat la nivelul insertiei sale pe tuberculul Gerdy si rabatat proximal. Astfel se deceleaza o ingrosare tendinoasa ce se intinde intre epicondilul lateral al femurului si marginea laterala a patelei. In pasul urmator am folosit un abord parapatelar contralateral disecand tendonul patelar si al muschiului cvadriceps pentru a avea o vedere atat intra- cat si extra-articulara. La palpare ligamentul a fost identificat ca o ingrosare discreta a portiunii laterale a capsulei avand marginile superioara si inferioara bine definite. Prin disectia minutioasa a sinovialei am reusit sa izolam retinaculul lateral.
.png)
Fig. 17. RETINACULUL LATERAL - vedere laterala
Observam traiectul oblic al retinacululi patelar lateral intre
cele doua insertii ale sale.

Fig. 18. RETINACULUL LATERAL - insertia femural
Remarcam distanta intre insertia retinaculului si cea a ligamentului colateral fibular.
.png)
Fig. 19. MUSCHII PERIARTICULARI
Putem concluziona astfel ca orice pozitie de extensie adoptata
reprezinta un echilibru intre fortele care extind articulatia
(muschi cvadriceps si tendonul rotulian) si mecanismele pasive
care se opun (ligamente incrucisate, ligamente colaterale,
regiunea posterioara a capsulei, ligamentul posterior oblic,
fascia si tegumentul).
Trebuie subliniat insa ca elementele capsulo-ligamentare descrise au o rezistenta mecanica pasiva limitata, inferioara necesitatii mecanicii genunchiului iar factorii care stabilizeaza real genunchiul sunt reprezentati de muschii periarticulari. Muschi ce intra in actiune prin informatiile pe care le primesc receptorii proprioceptici care populeaza din abundenta ligamentele genunchiului. Ceea ce explica eficienta limitata si in valoarea absoluta si in timp a inlocuirile prin ligamentoplastie a ligamentelor naturale rupte.
Aspecte de imagistica prin rezonanta magnetica a patologiei retinaculelor patelare
Introducere
Patologia retinaculelor patelare este in stransa corelatie cu instabilitaea patelara si subluxatia acesteia.
Primul episod de luxatie patelara apare de obicei dupa entorse ale genunchiului, moment in care stabilizatorii ligamentari mediali se rup, iar patela se loveste de condilul femural lateral. Modelul tipic de leziune implica de obicei o ruptura a ligamentului patelofemoral medial precum si prezenta contuziilor osoase ale rotulei dar si a condilului femural lateral. In plus, pot aparea leziuni complexe ale segmentelor osoase, a cartilajului sau a celorlate ligament ale genunchiului. Aceasta prima subluxatie favorizeaza luxatiile patelare viitoare, mai ales daca sunt prezenti factori de risc suplimentari.
Dislocatiile patelare recurente apar de obicei la indivizi cu variante anatomice ale stabilizatorilor patelari, cum ar fi displazia trochleara, patela alta si lateralizarea tuberozitatii tibiale. Imagistica prin rezonanta magnetica (RM) este fiabila in identificarea factorilor de risc pentru instabilitatea patelara cronica si in evaluarea leziunilor articulare ale genunchiului asociate cu luxatia patelara.
Imagistica RM poate oferi astfel informatii importante pentru tratamentul individual. Pacientii cu luxatie patelara primara, fara leziuni interne grave ale genunchiului, care nu au factori de risc majori, pot fi tratati in mod conservator.
Pacientii cu rupturi ligamentare severe sau leziuni osteocondrale mari necesita interventie chirurgicala prompta. In plus, corectarea chirurgicala a variantelor anatomice va contribui la reducerea potentialului de instabilitate cronica.
Cele mai frecvente proceduri, pe langa reconstructia retinaculului, includ trochleoplastia, medializarea tuberozitatii tibiale si plicaturarea capsulara mediala.
Pentru o evaluare cuprinzatoare a luxatiei patelare, un radiolog trebuie sa fie capabil sa identifice tiparele tipice de leziune, sa cunoasca metodele standard pentru a evalua factorii de risc pentru instabilitatea patelara si sa fie familiarizat cu optiunile chirurgicale.
Majoritatea pacientilor cu luxatie patelara sunt persoane tinere si active, femeile din a doua decada de viata avand un risc ridicat. Aproape jumatate din toti pacientii cu o luxatie pentru prima data vor suporta luxatii ulterioare dupa tratarea conservatoare initiala. In timpul perioadei de recuperare, majoritatea pacientilor au mobilitate redusa, iar doua treimi dintre acestia raporteaza limitari la activitati dificile. Instabilitatea cronica a articulatiei patelofemorale si luxatia recurenta poate duce la deteriorarea progresiva a cartilajului si mai apoi la aparitia unei artrite severe, daca nu este tratata in mod adecvat.

Fig. 20. MECANISMUL SUBLUXATIEI TRAUMATICE A PATELEI - schema
Factorii de risc ce duc la lezarea retinaculului medial si la instabilitate patelara
Displazia femuro - patelara (trohleara)
Displazia trohleara a fost identificata ca unul dintre factorii principali care contribuie la instabilitatea patelofemorala cronica. La indivizii cu displazie trohleara, suprafata articulatiei trohleare este aplatizata in proximal, iar concavitatea este mai putin pronuntata distal. Aceasta combinatie are ca rezultat pierderea considerabila a contactului patelar si luxatia laterala a rotulei la initierea flexiei. In cazurile mai severe ale displaziei trochleare, suprafata trohleara poate deveni chiar convexa odata cu cresterea hipoplaziei suprafetei articulatiei mediale. Datorita frecventei sale mari de aparitie bilaterala, se considera ca displazia trohleara este o anomalie de dezvoltare.

Fig. 21. DISPLAZIE TROHLEARA - gradarea dupa Dejour

Fig. 22. A. REPREZENTAREA IMAGISTICA IRM A TIPURILOR DE DISPLAZIE TROHLEARA (Dejour A)
Morfologia trohleara este pastrata, dar santul trohlear este putin adanc.

Fig. 22. B. REPREZENTAREA IMAGISTICA IRM A TIPURILOR DE DISPLAZIE TROHLEARA (Dejour B)
Suprafata plana, orizontala a articulatiei trohleare.

Fig. 22. C. REPREZENTAREA IMAGISTICA IRM A TIPURILOR DE DISPLAZIE TROHLEARA (Dejour C)
Suprafata articulara plana, orientata oblic, cu asimetrie fatetara.
Patela alta
Patela alta, sau patela inalta, este o patela care este situata deasupra fosei trochleare si apare atunci cand tendonul patelar este prea lung. Patela alta este considerata un factor principal in alinierea necorespunzatoare patelofemorala deoarece gradul de flexie este mai mare ca patela sa se angajeze in trohlee in comparatie cu un genunchi normal. Aceasta problema duce la reducerea zonei de contact patelo-trohleara si scaderea stabilitatii osoase in grade de flexie mici. De asemenea, o adevarata deformare in varum a genunchiului contribuie la o pozitionare patelara inalta prin scurtarea distantei dintre jonctiunea miotendinoasa a cvadricepsului si tuberozitatea tibiala. In aceasta situatie, mecanismul extensor devine ipotenuza a unui triunghi, iar aceasta configuratie poate predispune la subluxatie patelara laterala.

Fig. 24. IMAGINE SECTIUNE SAGITALA IRM - FSE PD CE EVIDENTIAZA O PATELA ALTA
Raportul de inaltime patelara evaluat pe imagini RM sagitale poarta numele de indice Insall Salvati. Lungimea tendonului patelar este masurata de la varful patelar pana la atasarea sa la tuberozitatea tibiala si este impartita la cel mai lung diametru superoinferior al rotulei pentru a obtine raportul inaltime patelara. Un raport de inaltime patelara mai mare de 1,3 indica o patela inalta (patela alta).
Leziuni ale aparatului stabilizator medial al patelei
Leziunile stabilizatorilor ligamentari mediali, cum ar fi retinaculul patelar medial, este diagnosticat pe imagini RM la 70% -100% dintre pacientii examinati dupa luxatia patelara laterala. Imagistica RM are o sensibilitate mai mare de 80% atunci cand este corelata cu examenul clinic. Impartirea retinaculului in doua sau in trei regiuni pare a fi utila pentru raportarea locului leziunii: (a) insertia patelara (treimea anterioara), (b) segmentul mijlociu si (c) originea femurala (treimea posterioara). Intre 50% si 90% din leziuni implica insertia patelara. Aproximativ o patrime dintre acesti pacienti au daune suplimentare unei a doua regiuni, iar o cincime din pacienti prezinta o leziune in toate cele trei portiuni. In o patrime din cazuri, MPFL este rupt la nivelul insertiei femurale care se poate insotii si cu o leziune de avulsie a epicondilului femural. Caracterizarea precisa a tipului de leziune ligamentara este importanta, deoarece rezultatele din cele mai recente studii indica faptul ca avulsia femurala este un predictor al instabilitatii cronice, motiv pentru care sediul lezional poate influenta direct planificarea chirurgicala.
O leziune completa a retinaculului medial este vazuta IRM ca o intrerupere completa a ligamentului cu prezenta edemului tesuturilor moi adiacente, in hipersemnal T2. Aspectul fibrilar lax sau retractat cu edem periligamentar indica o intrerupere completa.

Fig. 25. LEZIUNE A RETINACULULUI PATELAR, TREIME ANTERIOARA INSERTIONALA PATELARA
Santul trohlear femural remarca hipoplazia fetei mediale cu deschiderea unghiului trohlear, aspect corespunzator unei displazii trohleare Dejour B. Patela evidentiaza la randul ei o morfologie modificata compensator tip Wiberg III.
Retinacul patelar medial remarca o crestere in grosime, cu aspect lax, partial dezorganizat fibrilar si modificari de semnal intra- si periligamentare la nivelul insertiei sale patelare, cu mic fragment osos al versantului medial patelar avulsionat. Aspectele IRM sunt sugestive pentru o leziune a retinacului medial 1/3 anterioara.
Retinacul lateral cu traiect si semnal pastrat.

Fig. 26. LEZIUNE 1/3 MEDIE RETINACUL PATELAR MEDIAL
Retinaculul medial are un caracter modificat morfologic, ingrosat focal in segmentul sau mijlociu, aspect ce sugereaza o leziune cronica. Remarcam subluxatia laterala patelara cu instabilitate cronica.

Fig. 27. LEZIUNEA LIGAMENTULUI PATELOFEMURAL MEDIAL - 1/3 POSTERIOARA
Leziune decelata la nivelul 1/3 posterioare insertionale condilare a ligamentului patelofemural medial. Remarcam aspectul lax, partial dezorganziat la acest nivel. Santul trohlear prezinta un caracter displazic Dejour B. Patela remarca o singura fata articulara.
Reconstructia retinaculului patelar medial
![]() | ![]() |
![]() | ![]() |
Fig. 28. RECONSTRUCTIE A RETINACULUI PATELAR MEDIAL - ASPECTE IRM
Obiectivul reconstructiei chirurgicale este de a restabili functia stabilizatorilor mediali, care poate fi obtinuta prin inlocuirea unui retinacul rupt cu o autogrefa (tendon gracilis) sau o alografta (de exemplu, semimembranos) (4). Au fost descrise diferite tehnici de reparare dar toate vizeaza stabilizarea atasamentului retinaculului de condilul femural medial, punctul cel mai de jos al sau, sau atasarea acestuia la fateta patelara mediala. Abordarile folosesc diferite tehnici de ancorare si material de grefa. Stabilitatea mecanica depaseste adesea cea a unui retinacul nativ intact, care este necesar pentru a compensa anomaliile suplimentare care contribuie la instabilitate si predispun pacientii la viitoarele subluxatii sau luxatii patelare.

Centrokinetic este locul in care vei gasi raspunsuri si solutii clare pentru problemele de motricitate. Clinica dedicata afectiunilor osteoarticulare este impartita in urmatoarele departamente specializate:
- Ortopedie, departament compus dintr-o echipa de medici ortopezi extrem de experimentata, specializati in traumatologie sportiva.
- Ortopedie pediatrica, unde sunt tratate afectiunile sportive ale copiilor (leziuni ligamentare si de menisc), deformarile coloanei (scolioza, cifoza, hiperlordoza) si cele ale picioarelor (hallux valgus, hallux rigidus, picior var equin, picior plat valg, picior cav).
- Neurologie, ce dispune de un departament ultraperformant, unde sunt efectuate consultatii, electroencefalograme (EEG) si electromiografii (EMG).
- Recuperare medicala pentru adulti si copii, departament specializat in recuperarea sportivilor de performanta, in afectiunile coloanei vertebrale, in recuperarea copiilor cu afectiuni neurologice si traumatice. Experienta noastra este extrem de bogata, tratand peste 5000 de sportivi de performanta.
- Imagistica medicala, clinica fiind dotata cu ecograf si RMN, aparate performante dedicate afectiunilor musculoscheletale, si completata de un radiolog experimentat: Dr. Cosmin Pantu, specializat in imagistica musculo-scheletala.
- Reumatologie, departament complet care se ocupa cu diagnosticarea, tratarea si recuperarea bolnavilor cu afectiuni nechirurgicale ale aparatului locomotor.
- Chirurgie vasculara, departament supraspecializat in diagnosticarea si tratamentul bolilor sangvine, adica a arterelor, venelor si a vaselor limfatice.
- Psihologie si logopedie. Afectiunile neurologice sau osteoarticulare pot avea un impact psihologic asupra pacientului, de aceea consideram ca vindecarea completa presupune focusarea noastra atat asupra problemei osteoarticulare, cat si asupra consecintelor psihologice.
- Neurofeedback. Aceasta metoda revolutionara te ajuta sa-ti imbunatatesti concentrarea, sa reduci anxietatea si sa dobandesti un echilibru emotional, toate printr-un proces simplu si interactiv.
Afla noutatile urmarind conturile de Facebook, Instagram si YouTube ale clinicii Centrokinetic.
RECUPERARI DE SUCCES

PROGRAMEAZA-TE PENTRU O CONSULTATIE
Pentru ca orice tratament in clinica noastra este bazat pe un diagnostic si se face sub urmarire medicala, pentru evaluarea permanenta a evolutiei.PROGRAMEAZA-TE
PROGRAMEAZA-TE
LA O CONSULTATIE
Vezi aici modalitatile de programare si localizarea clinicii
PROGRAMARE
MEDICI
BUCURESTI
MEDICI
CLUJ-NAPOCA
MEDICI
BRASOV
Asiguratori privati





Parteneriate

















































































































































