Piciorul si glezna

Piciorul are o structura puternica si complicata: este alcatuit din 26 de oase, prinse prin 33 de articulatii si intarit prin mai mult de 100 de ligamente. Greutatea corpului este transmisa in picior prin glezna sau prin articulatia tibio-tarsiana. Tibia si fibula cu cele doua maleole depasesc si inconjoara partea superioara a astragalului, lucru care permite transferul presiunii la celelalte oase ale piciorului.
Functiile piciorului
- Reprezinta baza corpului si ofera sustinerea necesara pentru pozitia ortostatica folosind un minim de efort
- Asigura mecanismul necesar de torsiune pentru tibie si fibula in timpul fazei de incarcare a mersului
- Ofera elasticitate pentru a se putea adapta pe diferite suprafete in mers sau alergare
- Absoarbe socurile intermitente
Avand ca principal rol sustinerea corpului in picioare si propulsarea acestuia in timpul mersului, glezna si piciorul sunt predispuse spre diferite afectiuni degenerative si traumatisme.
Cuprins
- Afectiuni frecvente
- luxatia gleznei
- fractura metatarsului
- fracturile maleolare
- leziunile cartilajului
- ruptura tendonului lui Ahile
- fractura / leziunea articulatiei Lisfranc
- Afectiuni cronice
- afectiuni ale tendonului lui Ahile
- fasciita plantara si pintenii calcaneeni
- neuromul lui Morton
- Interventii chirurgicale
- fracturile maleolare
- leziunile cartilajului
- monturi – hallux valgus
Afectiuni frecvente
Luxatia gleznei
![]()
Majoritatea oamenilor vor suferi de o luxatie a gleznei in timpul vietii lor, aceasta fiind cea mai frecventa leziune avand o mai mare prevalenta printre sportivi.
Cauza cea mai frecventa o reprezinta rotatia interna a piciorului (inversii). Luxatiile pot fi, de asemenea, rezultatul unei eversii (o rotatie externa a piciorului) si uneori cele doua leziuni pot coincide. Ligamentul cel mai predispus la o inversie este talofibularul anterior, urmat de calcaneo-peroneal si apoi de catre talofibularul posterior. Pe cand eversiunile sunt mai des rezultatul unei leziuni ale ligamentul deltoid.
Tumefactia apare de obicei imediat, iar durerea poate fi foarte intensa. Miscarile sunt sever limitate din cauza tumefierii (umflaturii), in timp ce stabilitatea gleznei poate fi, deasemenea compromisa.
Daca zona din jurul gleznei este tumefiata remarcabil, se face o radiografie pentru a elimina suspiciunea unei fracturi. O ecografie efectuata la cateva zile dupa ranire poate ajuta la evidentierea deformarilor si a leziunilor ligamentare. In cazuri rare examinarea poate fi completata cu un RMN sau cu un CT.
Reabilitarea care urmeaza dupa leziunile traumatice acute este esentiala pentru ameliorarea durerii, restaurarea stabilitatii articulatiei pentru functionarea sa dinamica. Este, de asemenea, important ca pacientul sa continue un program de intretinere dupa ce reabilitarea este completa, pentru a evita reaparitia problemei.
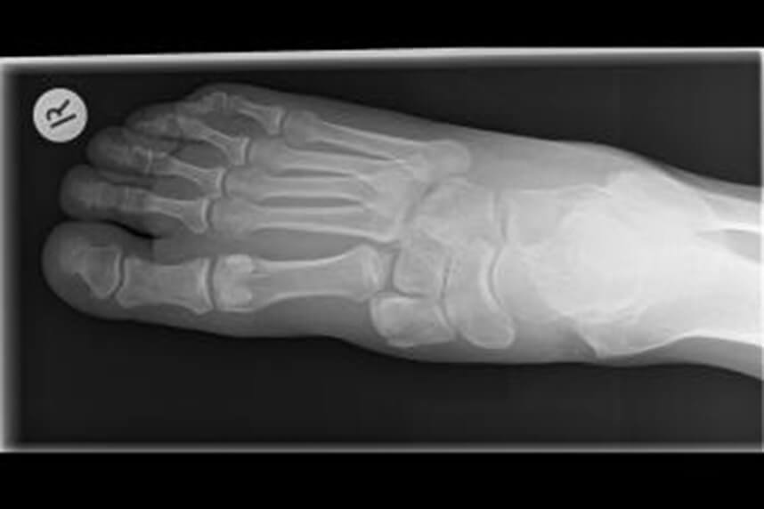
Fractura metatarsului
![]()
Fracturile metatarsului patru si cinci sunt cele mai comune si de obicei nu necesita operatie. Pacientii prezinta de obicei durere, urmare a unei luxatii sau dupa o cadere ori saritura. Accidentele de motocicleta sau masina sunt de asemenea responsabile de aceste rani.
Cursul normal de tratament implica imobilizarea piciorului cu un ghips pentru aproximativ 30 de zile, timp in care atrofia musculara in picior va fi evidenta. Si de aceasta data, radiografiile sunt extrem de importante pentru diagnostic. Din momentul in care terapeutul a verificat consolidarea fracturii si juxtapunerea corecta a capetelor osoase, reabilitarea poate incepe.
Programul de reabilitare va debuta cu o incarcare foarte usoara si va progresa constant pana cand nu vor mai fi necesare carjele. Inainte ca reabilitarea pe teren sa poata incepe, pacientul trebuie sa aiba o gama larga de miscari, fluiditate, proprioceptie si o forta musculara buna in membrul inferior.
Daca au fost folosite tehnici de osteosinteza, programul de reabilitare nu se schimba semnificativ, totusi exercitiile cu rezistenta pot incepe mai devreme, reducand durata totala a procesului.
Fracturile maleolare
![]()
Aceste tipuri de fracturi pot fi cauzate de o gama larga de intamplari, cum ar fi accidentele de masina, leziunile sportive si chiar accidente suferite acasa sau la locul de munca. Aceste leziuni vor necesita, in mod normal, imobilizarea articulatiei cu ajutorul unui ghips sau proteze, timp de 30-40 de zile.
Dupa aceasta perioada, glezna va fi extrem de rigida pe toate planurile (flexie-extensie si inversie-eversie), iar hipotrofia musculara va fi evidenta.
Daca ai suferit de acest tip de leziune si vii la noi pentru reabilitare, este foarte important sa aduci radiografiile zonei cu tine, in special cele facute dupa ce ghipsul a fost scos. Aceste filme radiografice il informeaza pe medicul tau daca oasele tale maleolare sunt sau nu aliniate – daca nu sunt, reabilitarea cu succes devine imposibila.
Reabilitarea acestor tipuri de leziuni poate necesita o perioada lunga de timp. Strategii fizice si farmacologice vor fi folosite pentru reducerea durerii si a tumefactiei, iar, in plus, drenajul limfatic manual este deseori necesar. Mai tarziu, pe parcursul terapiei, exercitii proprioceptive vor fi introduse in paralel cu incarcarea progresiva pentru a ajuta la intarirea muschilor din jurul gleznei.
Reabilitarea acvatica (hidrokinetoterapia) este foarte eficienta cand avem de-a face cu astfel de leziuni, deoarece ii permite pacientului sa-si recapete mersul cu o incarcare minima.
Aceste rani pot perturba in mod special viata pacientului, din cauza imobilizarii piciorului. Incercam sa ne ajutam pacientii sa realizeze miscarile de baza necesare pentru a reveni la viata normala (ajutandu-i sa conduca, sa mearga fara carje si eventual sa revina la sport sau la activitatile lor obisnuite).
Leziunile cartilajului
![]()
Aceste leziuni apar de cele mai multe ori ca urmare a unei deformari in timpul supinatiei, afectand de obicei compartimentul medial, avand ca rezultat o durere persistenta si o limitare functionala.
Pacientii (de obicei atletii profesionisti) raporteaza numeroase luxatii de glezna, durere persistenta, limitarea miscarilor si tumefactie.
Varus-valgus si testul sertar pot avea rezultate favorabile in aceste cazuri. Radiografiile nu sunt suficient de precise pentru a fi folosite. RMN-ul ofera o mai buna vizualizare atat a fracturilor osteocondrale, cat si in cazul oricarei dislocari a fragmentelor osoase.
Tratamentele pentru aceste afectiuni variaza in functie de gravitatea lor. Atat timp cat nu este o leziune de gradul 4 (una care sa includa fragmente dislocate, care pot fi remediate doar chirurgical) un tratament bazat pe o reabilitare conservativa poate incepe.
Ruptura tendonului lui ahile
![]()
Tendonul lui Ahile este cel mai mare si cel mai robust tendon din corpul uman.
Stresul repetitiv la sportivi sau simpla imbatranire in cazul persoanelor inactive pot duce la variatii in structura acestui tendon. Acest lucru poate duce la rupturi partiale sau chiar complete ale tendonului. Aceste afectiuni de multe ori rezulta din tendinita cronica nerecunoscuta sau gresit inteleasa. Ea afecteaza mai ales alergatorii, fotbalistii si jucatorii de tenis. Se crede ca ar fi rezultatul unei contractii bruste.
Atletii afirma deseori ca au avut senzatia primirii unei lovituri din partea adversarului. Ruptura genereaza o deteriorare functionala imediata, impiedicand orice fel de miscare.
Diagnosticul se bazeza in principal pe prezentarea clinica: uneori exista un gol evident la locul rupturii. Diagnosticul suspectat este de obicei confirmat de o ecografie care arata clar intreruperea fibrelor tendonului si care ne permite sa distingem intre rupturile partiale si cele totale.
In aceste cazuri, intotdeauna este necesara inverventia chirurgicala.
Recuperarea este de lunga durata. Dupa o anumita perioada de imobilizare post¬-chirugicala, incarcarea tendonului se face progesiv, mersul complet fiind recuperat in cateva luni.
Fractura / leziunea articulatiei lisfranc
![]()
Aceasta leziune este rara si greu de diagnosticat si include articulatia tarso-metatarsiana (cunoscuta si sub numele de articulatia Lisfranc). Ea poate surveni atat prin mecanisme directe cat si indirecte.
Un exemplu clasic de trauma directa il reprezinta o lovitura directa laterala sau mediala in jumatatea piciorului, lucru care de obicei ramane neobservat sau subestimat de catre pacient. Traumele indirecte includ caderi sau blocarea piciorului gol in locuri incomode.
Simptomele sunt caracterizate de o durere intensa, localizata in jumatatea piciorului, care apoi devine exagerbata de-a lungul liniei articulatiei Lisfranc in timpul compresiunii.
In jur de 20% din radiografiile dislocatiilor Lisfranc dau rezultate negative, totusi CT-ul este foarte eficace in a evidentia semnele care indica acest tip de leziune.
De obicei, pacientilor care sufera de acest tip de leziune, insa care nu prezinta instabiltate, li se pune o proteza timp de 4-6 saptamani, timp in care incep sa apara semne de remisie. Fizioterapia este utilizata pentru a reduce durerea si inflamatia. Un program de reabiltare este elaborat pentru a ajuta la intarirea muschilor gleznei si pentru a imbunatati pozitia cavitatii de-a lungul arcului plantar.
Cand avem de-a face cu rani instabile, cel mai adesea este necesar un tratament chirurgical, constand intr-o suspendare percutanata folosind fire sau suruburi, urmata de imobilizarea cu o proteza sau un ghips. Tehnicile de reabilitare ulterioara, dupa indepartarea ghipsului, urmeaza aceleasi principii ca in cazul leziunilor stabile.
Afectiuni cronice
Afectiuni ale tendonului lui Ahile
![]()
In aceasta categorie intra cateva afectiuni inflamatorii si degenerative, incluzand tendinite, tendinoze si tendinita insertionala (entezita). Ele pot fi rezultatul unei raniri acute, declansata de o supraincarcare functionala sau unor microtraume cauzate de incaltamintea necorespunzatoare, antrenament intens sau exercitii efectuate la temperaturi scazute.
Initial, simptomele tind sa se inrautateasca in timpul repaosului, dupa care trec dupa miscare (primii pasi de dimineata pot fi in mod special inconfortabili). Dupa ceva timp, durerea e posibil sa nu se mai diminueze dupa miscare, impiedicand sever mersul pacientului. In timp, stresul din portiunea distala a tendonului poate duce la inflamatia bursei pre-ahiliene, complicand mai tare situatia clinica.
Diagnosticul se bazeaza pe localizarea durerii (de obicei din jurul insertiei tendonului pe calcaneu), cat si pe inflamatia si roseata pielii. Acesti indicatori sunt de obicei completati de o ecografie, folosita pentru a determina cu exactitate locatia si extinderea leziunii.
Tendinopatiile necesita un tratament delicat, iar sansele de succes variaza in functie de severitatea ranii si de timpul scurs de la declansarea primelor simptome. Cu toate astea, formarea unui plan de reabilitare eficient este important, deoarece nici etapele tardive, mai putin severe ale acestei afectiuni nu trebuie ignorate.
Fasciita plantara si pintenii calcaneeni
![]()
Fasciita plantara este o tulburare cu privire la structurile de tesut conjunctiv fibros care provin din tuberozitatea calcaneana si se insera in capetele metatarsiene.
In timpul fazei de sprijin a miscarilor de mers si alergare, fascia plantara este intinsa in mod semnificativ, provocand un nivel ridicat de stres in jurul insertiei pe tuberculul medial al calcaneului. De-a lungul timpului, calcifierea poate avea loc de-a lungul lungimii acestei benzi rezultand in aparitia pintenilor . Prezenta acestor pinteni nu este legata in mod necesar de prezenta durerii, pintenii fiind adesea descoperiti din intamplare in timpul razelor X pentru alte leziuni care nu au cauzat pacientului nicio durere, in timp ce unii pacienti prezinta o fasciita plantara foarte dureroasa in absenta unui pinten.
Aceasta conditie este comuna in randul sportivilor implicati in alergat, dans, tenis si baschet, mai ales in cazul in care acestia au crescut incarcatura prea repede in timpul antrenamentului.
Aceasta poate, de asemenea, sa afecteze persoanele in varsta care au inceput sa poarte pantofi plati, cei care sunt supraponderali, oamenii care trebuie sa poarte pantofi neadecvati la locul de munca si cei cu neregularitati in plante (picioare plate, talpi dure si cei cu o tendinta de hiperpronatie). In general vorbind, aceasta conditie tinde sa fie cronica, deoarece este adesea trecuta cu vederea sau neglijata de suferinzi timp de cateva luni, timp in care ea se agraveaza.
Simptomele consta de obicei, in dureri severe in timpul primilor pasi ai zilei, care se imbunatatesc treptat dupa o anumita miscare, inainte de a se agrava din nou, mai tarziu. Tumefierea poate fi de asemenea prezenta in jurul zonei afectate. Nu este neobisnuit ca pacientii sa experimenteze deficite de putere si extensibilitate.
Radiografiile, ecografia si eventual, electromiografia sunt utile pentru stabilirea unui diagnostic. Electromiografia este deosebit de utila in cazul in care exista vreo senzatie de amorteala sau paralizie din cauza compresiei pe nervul asociat.
Pe termen scurt, pacientul trebuie sa se opreasca din orice activitate sportiva (cu exceptia inotului si ciclismului) si sa incerce sa reduca efectul factorilor predispozanti (evitarea purtarii incaltamintei nepotrivite sau a pierderii in greutate, de exemplu). Folosirea talpilor interioare poate ajuta la corectarea oricaror anomalii ale arcului plantar. Terapia cu unde de soc poate fi foarte eficienta in reducerea inflamatiei in aceste conditii.
Neuromul lui Morton
![]()
Neuromul lui Morton este adesea atribuita tumefierii in ramurile nervului plantar care se afla intre al doilea si al treilea, respectiv al treilea si al patrulea metatars. Compresiunea acestor nervi intre capetele metatarsiene poate fi cauzata de microtraume care rezulta din utilizarea incaltamintei neadecvate (pantofi ingusti in special).
Pacientii prezinta de obicei un debut brusc al durerii, de multe ori comparat cu un soc electric. Amorteala este de asemenea, in mod frecvent prezenta in cele doua degete afectate.
Diagnosticul este in esenta clinic, dar poate fi confirmat printr-o ecografie sau o scanare RMN. Tratamentul initial este conservator, dar in cazurile severe, unde este necesara interventia chirurgicala, neuromul este eliminat.
Interventii chirurgicale
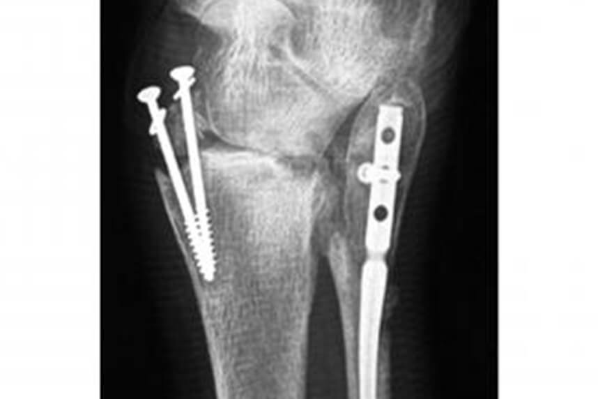
Fracturile maleolare
![]()
Acestea sunt cele mai frecvente fracturi ale membrului inferior: ele implica maleolele interne si externe, uneori imbinate prin leziuni ale ligamentelor gleznei. Fractura care implica cel putin doua maleole si partea posterioara a tibiei este definita ca o fractura tri-maleolara.
Probabil ai suferit o trauma in urma unui accident de masina, un traumatism cauzat in timpul unei activitati sportive sau a unei caderi accidentale. In functie de diferitele tipuri de fractura, exista diverse tratamente chirurgicale la care sa fii supus.
Numeroase substitute osoase sintetice sunt folosite la fel de bine ca niste fixatoare externe. Veti fi capabil sa incepeti reabilitarea dupa o anumita perioada de mobilizare cu un plasture sau fixator. Este important sa stiti ca reabilitarea propusa pentru acest tip de patologie este una pe termen lung si provocatoare, necesitand in medie patru luni, pentru realizarea unei recuperari discrete a functionalitatii si aproximativ opt luni pentru revenirea la activitatea sportiva. In general, inlocuitorii ososi sintetici sunt indepartati la un an dupa interventia chirurgicala. Reabilitarea dupa indepartarea lor va dura aproape o luna.
Leziunile cartilajului
![]()
Leziunile cartilaginoase sunt adesea observate ca urmare a uzurii articulatiei prin miscari repetitive, cu toate ca ele sunt la fel de comune ca urmare a unei rani de sport. Tratamentul in cazul acesta poate fi conservator sau chirurgical in cazurile mai severe. Oricum ar fi, putem trata in mod eficient acest tip de leziuni, folosind propriul nostru proces de reabilitare conservatoare sau prin elaborarea unui program specializat de reabilitare post-chirurgicala.
Monturi – hallux valgus
![]()
Aceasta este o "deformare dobandita" a articulatiei metatarsofalangiene a degetului mare. La o luna dupa operatia de corectie, de obicei vi se va recomanda sa purtati un pantof in forma de pana, care permite inclinarea de pe toc (pantof Talus). Apoi, veti fi capabil(a) sa incepeti procesul de reabilitare.
Durerea va fi prezenta pe parcursul primelor faze dupa interventia chirurgicala, in special atunci cand o anumita presiune actioneaza asupra cicatricei (noaptea in special) iar tumefactia va afecta partea din fata a piciorului.
Recuperarea incepe cu terapiile fizice pentru a reduce durerea si tumefactia, drenaj limfatic si masaj la picioare; apoi mobilizarea articulatiei gleznei si a degetului mare si consolidarea treptata a piciorului, gambei si a muschilor coapsei, exercitii de pregatire pentru mersul pe jos si abandonarea treptata a carjelor.
Centrokinetic este locul in care vei gasi raspunsuri si solutii clare pentru problemele de motricitate. Clinica dedicata afectiunilor osteoarticulare este impartita in urmatoarele departamente specializate:
- Ortopedie, departament compus dintr-o echipa de medici ortopezi extrem de experimentata, specializati in traumatologie sportiva.
- Ortopedie pediatrica, unde sunt tratate afectiunile sportive ale copiilor (leziuni ligamentare si de menisc), deformarile coloanei (scolioza, cifoza, hiperlordoza) si cele ale picioarelor (hallux valgus, hallux rigidus, picior var equin, picior plat valg, picior cav).
- Neurologie, ce dispune de un departament ultraperformant, unde sunt efectuate consultatii, electroencefalograme (EEG) si electromiografii (EMG).
- Recuperare medicala pentru adulti si copii, departament specializat in recuperarea sportivilor de performanta, in afectiunile coloanei vertebrale, in recuperarea copiilor cu afectiuni neurologice si traumatice. Experienta noastra este extrem de bogata, tratand peste 5000 de sportivi de performanta.
- Imagistica medicala, clinica fiind dotata cu ecograf si RMN, aparate performante dedicate afectiunilor musculoscheletale, si completata de un radiolog experimentat: Dr. Cosmin Pantu, specializat in imagistica musculo-scheletala.
- Reumatologie, departament complet care se ocupa cu diagnosticarea, tratarea si recuperarea bolnavilor cu afectiuni nechirurgicale ale aparatului locomotor.
- Chirurgie vasculara, departament supraspecializat in diagnosticarea si tratamentul bolilor sangvine, adica a arterelor, venelor si a vaselor limfatice.
- Psihologie si logopedie. Afectiunile neurologice sau osteoarticulare pot avea un impact psihologic asupra pacientului, de aceea consideram ca vindecarea completa presupune focusarea noastra atat asupra problemei osteoarticulare, cat si asupra consecintelor psihologice.
- Neurofeedback. Aceasta metoda revolutionara te ajuta sa-ti imbunatatesti concentrarea, sa reduci anxietatea si sa dobandesti un echilibru emotional, toate printr-un proces simplu si interactiv.
Afla noutatile urmarind conturile de Facebook, Instagram si YouTube ale clinicii Centrokinetic.
MEDICI
BUCURESTI
MEDICI
CLUJ-NAPOCA
MEDICI
BRASOV
PROGRAMEAZA-TE
LA O CONSULTATIE
Vezi aici modalitatile de programare si localizarea clinicii
PROGRAMARE
Asiguratori privati





Parteneriate































































































































