
Departamentul de Chirurgie Ortopedica al clinicii Centrokinetic
este dedicat sa ofere ingrijire excelenta pacientilor si educatie
de exceptie pentru medicii tineri, in domeniile chirurgiei
ortopedice si a medicinii musculo-scheletice.
Departamentul este format din medici ortopezi, cu activitate chirurgicala
vasta, supraspecializati in traumatologie sportiva, chirurgia
gleznei si piciorului, artroplastia de genunchi si sold,
chirurgia ortopedica pediatrica.
Centrokinetic acorda o mare importanta intregului act medical: investigatii necesare diagnosticarii corecte (ecografie, RMN), interventii chirurgicale si recuperare postoperatorie.
Descopera centrul de imagistica cu RMN deschis in cadrul clinicii noastre. Centrokineticdispune de un aparat RMN de ultima generatie, dedicat afectiunilor musculo-scheletale, de la nivelul membrelor superioare si inferioare. Aparatul RMN este deschis, astfel incat si persoanele care sufera de claustrofobie pot face aceasta investigatie. Durata de examinare este in medie de 20 de minute.
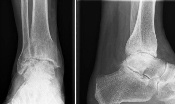
Artrodeza artroscopica de glezna este indicata in artroza avansata de glezna. Interventia ideala este cea care are sanse de succes de aproape 100% la prima incercare posibila (90-95% cazul fuziunii artroscopice a gleznei) și permite pacientului sa recupereze cat mai repede. De asemenea, ar trebui sa aiba un nivel scazut de durere postoperatorie.
.jpg)
Aceasta descriere serveste pentru a ilustra principalele avantaje ale artrodezei artroscopice a gleznei, ceea ce duce la un timp de recuperare mai rapid in conditiile unor dureri postoperatorii foarte mici.
Operatia se efectueaza utilizand standard doua incizii mici pentru artroscopia gleznei, precum si alte doua incizii mici pentru a plasa cele doua suruburi necesare pentru fixare (de obicei, in partea mediala a gleznei).
.png)
Tehnica chirurgicala
Pacientul primeste o anestezie spinala (rahidiana) si este asezat
pe spate pe masa operatorie. Ulterior, se monteaza o banda
hemostatica la nivelul membrului afectat cu rolul de a nu sangera
in timpul interventiei.
Interventia presupune efectuarea a doua incizii de cca 4mm in zona mediala si laterala a gleznei, si introducerea unei camere optice de 2.8 sau 4mm grosime pentru a se inspecta articulatia afectata. Cu ajutorul unui instrumentar special, se elimina tot cartilajul articular ramas si se regularizeaza suprafetele articulare, astfel incat contactul dintre cele 2 oase (tibie si talus) sa fie cat mai mare. Ulterior, se efectueaza inca 2 incizii de circa 5 mm in zona mediala a gleznei (sau una mediala si un laterala), si sub control radiologic se fixeaza articulatia afectata cu 2-3 suruburi de titan, de 5mm grosime, compactand (apropiind) cele 2 suprafete osoase.
.png)
Folosirea tehnicii artroscopice de artrodeza a gleznei inseamna, de asemenea, ca majoritatea pacientilor evita complicatiile date de o interventie clasica: incizie de cca 12-14 cm, durere, riscuri de infectie, de a leza formatiuni anatomice locale.
Nivelul scazut de durere si mobilitatea ridicata inseamna ca majoritatea pacientilor necesita o singura zi postoperatorie spital.
Cea mai importanta diferenta este sansa unei fuziuni de glezna de succes. Cu tehnica artroscopica exista un succes intre 90-97%. In cel mai bun caz, cu optiunea deschisa, ne putem astepta la o rata de fuziune primara de 80-90% (aceasta inseamna sansa ca fuziunea sa aiba loc dupa prima operatie).
Postoperator
Dupa interventie, pacientul ramane internat in spital 1-2 zile. Va primi pe durata spitalizarii medicamente pentru durere si antibiotice. Membrul operat este imobilizat partial intr-o atela de fibra, foarte usoara pentru 8 saptamani. Mersul cu incarcare nu este permis in primele 6 saptamani postoperator, trebuind sa folositi carje.
Acasa
Cu toate ca, recuperarea dupa o artrodeza artroscopica de glezna este mult mai rapida fata de o interventie clasica, totusi, vor trece cateva luni pana o sa recuperati in totalitate articulatia operata. Trebuie sa va asteptati la durere si disconfort, cel putin o saptamana postoperator. Gheata va duce la scaderea durerii si a inflamatiei.
Trebuie sa aveti grija sa nu ca sprijiniti pe glezna operata in primele saptamani, pentru ca durerile si disconfortul se pot accetua. Puteti face baie, dar fara sa udati bandajul si inciziile. Firele se suprima la 14 zile postoperator.
Dupa 6 saptamani se efectueaza un control radiologic si daca examenul este satisfacator, pacientul poate incepe sa calce usor pe memebrul operat. Cu toate astea, cel mai devreme veti renunta la carje la 10 saptamani, dar in unele cazuri, pronosticul este de 12 saptamani.
.jpg)
Kinetoterapia joaca un rol foarte important in programul de reabilitare, iar exercitiile trebuie urmarite de catre un kinetoterapeut pana la terminarea perioadei de recuperare.
Este foarte important sa urmati cu strictete si seriozitate programul de recuperare pentru ca interventia chirurgicala sa fie un succes. Echipa noastra medicala lucreaza in medie cu pacientul dupa aceasta interventie, 18-24 saptamani pana la recuperarea completa a gleznei.
In urma oricarei interventii chirurgicale, recuperarea medicala joaca un rol esential in reintegrarea pacientului sociala, profesionala si familiala. Pentru ca urmarim rezultatul optim pentru fiecare pacient care intra in clinica, medicina de recuperare de la Centrokinetic se bazeaza pe o echipa de medici si kinetoterapeuti experimentati si pe protocoale medicale standardizate .Centrokinetic este locul in care vei gasi raspunsuri si solutii clare pentru problemele de motricitate. Clinica dedicata afectiunilor osteoarticulare este impartita in urmatoarele departamente specializate:
- Ortopedie, departament compus dintr-o echipa de medici ortopezi extrem de experimentata, specializati in traumatologie sportiva.
- Ortopedie pediatrica, unde sunt tratate afectiunile sportive ale copiilor (leziuni ligamentare si de menisc), deformarile coloanei (scolioza, cifoza, hiperlordoza) si cele ale picioarelor (hallux valgus, hallux rigidus, picior var equin, picior plat valg, picior cav).
- Neurologie, ce dispune de un departament ultraperformant, unde sunt efectuate consultatii, electroencefalograme (EEG) si electromiografii (EMG).
- Recuperare medicala pentru adulti si copii, departament specializat in recuperarea sportivilor de performanta, in afectiunile coloanei vertebrale, in recuperarea copiilor cu afectiuni neurologice si traumatice. Experienta noastra este extrem de bogata, tratand peste 5000 de sportivi de performanta.
- Imagistica medicala, clinica fiind dotata cu ecograf si RMN, aparate performante dedicate afectiunilor musculoscheletale, si completata de un radiolog experimentat: Dr. Cosmin Pantu, specializat in imagistica musculo-scheletala.
- Reumatologie, departament complet care se ocupa cu diagnosticarea, tratarea si recuperarea bolnavilor cu afectiuni nechirurgicale ale aparatului locomotor.
- Chirurgie vasculara, departament supraspecializat in diagnosticarea si tratamentul bolilor sangvine, adica a arterelor, venelor si a vaselor limfatice.
- Psihologie si logopedie. Afectiunile neurologice sau osteoarticulare pot avea un impact psihologic asupra pacientului, de aceea consideram ca vindecarea completa presupune focusarea noastra atat asupra problemei osteoarticulare, cat si asupra consecintelor psihologice.
- Neurofeedback. Aceasta metoda revolutionara te ajuta sa-ti imbunatatesti concentrarea, sa reduci anxietatea si sa dobandesti un echilibru emotional, toate printr-un proces simplu si interactiv.
Afla noutatile urmarind conturile de Facebook, Instagram si YouTube ale clinicii Centrokinetic.

PROGRAMEAZA-TE PENTRU O CONSULTATIE
Pentru ca orice tratament in clinica noastra este bazat pe un diagnostic si se face sub urmarire medicala, pentru evaluarea permanenta a evolutiei.PROGRAMEAZA-TE
PROGRAMEAZA-TE
LA O CONSULTATIE
Vezi aici modalitatile de programare si localizarea clinicii
PROGRAMARE
MEDICI
BUCURESTI
MEDICI
CLUJ-NAPOCA
MEDICI
BRASOV
Asiguratori privati





Parteneriate































































































































