.jpg)
Departamentul de Chirurgie Ortopedica al clinicii Centrokinetic
este dedicat sa ofere ingrijire excelenta pacientilor si educatie
de exceptie pentru medicii tineri, in domeniile chirurgiei
ortopedice si a medicinii musculo-scheletice.
Departamentul este format din medici ortopezi, cu activitate chirurgicala
vasta, supraspecializati in traumatologie sportiva, chirurgia
gleznei si piciorului, artroplastia de genunchi si sold,
chirurgia ortopedica pediatrica.
Centrokinetic acorda o mare importanta intregului act medical: investigatii necesare diagnosticarii corecte (ecografie, RMN), interventii chirurgicale si recuperare postoperatorie.
Descopera centrul de imagistica cu RMN deschis in cadrul clinicii noastre. Centrokineticdispune de un aparat RMN de ultima generatie, dedicat afectiunilor musculo-scheletale, de la nivelul membrelor superioare si inferioare. Aparatul RMN este deschis, astfel incat si persoanele care sufera de claustrofobie pot face aceasta investigatie. Durata de examinare este in medie de 20 de minute.
Articulatia umarului ofera o arie de miscare atat de mare si o flexibilitate mult mai crescuta decat alte articulatii din corp, fiind in consecinta si articulatia cea mai predispusa la luxatii si subluxatii. Traumatismele recurente, luxatiile scapulohumerale sau laxitatea congenitala a partilor moi, pot duce la o afectiune cronica numita instabilitate articulara recidivanta, pacientul putand descrie si 200 de luxatii.
.png)
Procedeul Latarjet este o tehnica chirurgicala prin care se incearca recastigarea stabilitatii umarului. Este indicata in luxatiile recidivante de umar, dar uneori aceasta tehnica este folosita ca prima intentie dupa o luxatie acuta scapulo-humerala.
Indicatiile chirurgicale in instabilitatea anterioara includ: ineficienta tratamentului ortopedic (non-chirurgical), luxatii recurente, luxatii ireductibile, reduceri instabile. Tratamentul chirurgical poate fi impartit in 2 grupe: proceduri care vizeaza tesuturile moi si proceduri care vizeaza tesutul osos.
In cazul in care, investigatiile preclinice evidentiaza leziune
osoasa la nivelul glenei anterioare, tehnicile chirurgicale care
adreseaza direct deficitul osos sunt de electie. Leziunile osoase
pot aparea in urma unor traumatisme, luxatii scapulohumerale
recurente, deformari congenitale. Cea mai folosita tehnica
chirurgicala este cea descrisa de Bristow (modificata ulterior de
Latarjet si altii).
Pregatirea preoperatorie
Pacientul este pozitionat in decubit dorsal pe masa chirurgicala, cu un sul sub marginea mediala a scapulei. Alternativ, pacientul poate fi pozitionat pe masa chirurgicala “in scaun de plajaâ€. Optiunile pentru anestezie includ anestezia generala si blocul interscalenic cu usoara sedare. Blocul interscalenic este de preferat in aceasta interventie, fiind mai putin invaziv, reducand semnificativ sangerarea si aducand un aport de analgezie postoperator.
Tehnica chirurgicala consta in sectionarea procesului coracoid si fixarea acestuia in partea anteroinferioara a glenei. Astfel, capul scurt al bicepsului si coracobrahialul actioneaza ca sprijin in zona anteroinferioara a articulatiei atunci cand umarul este in pozitia vulnerabila de abductie si rotatie externa. De asemenea, transferul procesului coracoid printr-o bresa in m. subscapular, face ca insertiile musculare ale celor 2 muschi sa previna partea inferioara a m subscapular sa se deplaseze superior de capul humeral atunci cand umarul este in abductie.
.png)
Se face o incizie pornind de la nivelul procesului coracoid si continuand inferior de-a lungul santului deltopectoral de cca 4-7 cm. Se identifica vena cefalica si se retracteaza lateral. Se plaseaza bratul in abductie si rotatie externa. Se deschide santul deltopectoral, mobilizand ms. deltoid lateral si ms. pectoral mare medial. Se expune procesul coracoid cu insertiile musculare. Se evidentiaza ligamentul coracoacromial si se sectioneaza la 1 cm de procesul coracoid. Se plaseaza bratul in adductie si rotatie interna, se sectioneaza insertia ms pectoral mare de pe suprafata mediala a procesului coracoid, lasand intacte insertiile ms. biceps (cap scurt)si coracobrahial. Se practica osteotomia procesului coracoid cu un osteotom curbat la 90o, astfel incat sa rezulte o grefa osoasa de 1-3cm cu insertiile musculare atasate, la baza insertiei ligamentelor coraco-claviculare. Trebuie avuta atentie la mobilizarea procesului coracoid, astfel incat sa nu fie lezat n. musculocutan care penetreaza ms. cocarobrahial la cativa centimetri de procesul coracoid. Se plaseaza bratul in abductie si rotatie externa si se elibereaza complet procesul coracoid.
.jpg)
Se plaseaza bratul in adductie si rotatie externa. Ulterior se identifica marginile superioara si inferioara a ms. subscapular care se incizeaza de-a lungul fibrelor in 1/3 medie cu inferioara. Acest lucru permite expunerea capsulei anterioare a articulatiei scapulohumerale. Se incizeaza capsula si se deschide articulatia. Se introduce un departator pentru capul humeral, iar bratul este plasat in rotatie interna. Se inspecteaza cavitatea articulara si se extrag eventualele fragmente osoase libere.
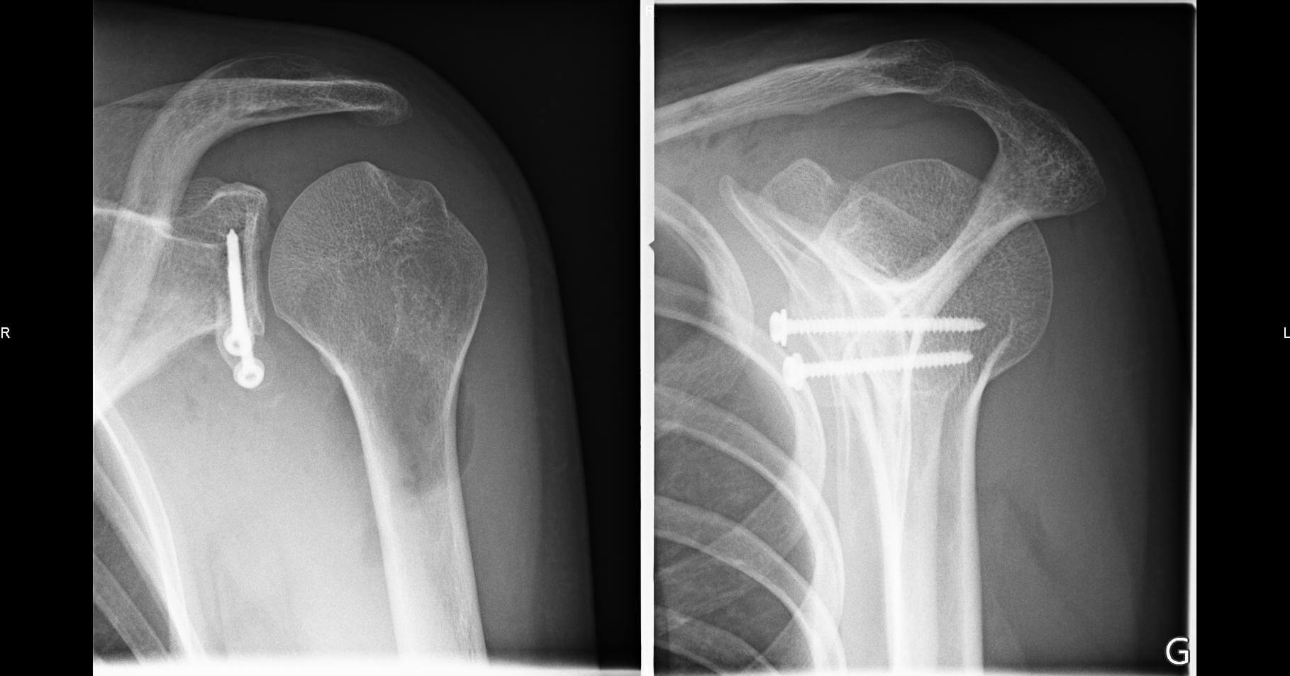
Expunerea colului scapulei este necesara pentru o fixare adecvata a grefei osoase. Printr-o disectie subperiostala se descopera colul scapulei. Este foarte important ca fragmentul coracoid sa fie fixat in jumatatea inferioara a glenei, la maxim 5 mm de marginea articulara.
Se foreaza cu burghiul de 3.2mm o gaura in partea anteroinferioara a colului scapulei care trebuie sa perforeze cortexul posterior si sa nu interfereze cu suprafata articulara. O gaura similara se foreaza in fragmentul coracoid. Este foarte important ca pozitionarea fragmentului sa se faca pe un pat osos sanatos, fara interpozitie de parti moi. Marginile capsulei anterioare se apropie cu suturi separate, inainte de fixarea definitiva a fragmentului osos. Se fixeaza procesul coracoid pe colul scapulei cu un surub maleolar masurat, in prealabil. O saiba poate fi folosita pentru a nu sparge fragmentul osos. Dupa fixarea finala se investigheaza musculocutan pentru a nu fi in tensiune.
.jpg)
La final se sutureaza bresa in m. Subscapular, se apropie fascia deltopectorala si se sutureaza plaga.
![]() | ![]() |
Dupa interventie, pacientul ramane internat in spital 1-2zile. Va primi pe durata spitalizarii medicamente pentru durere si antibiotice. Membrul operat este imobilizat partial intr-un bandaj Dessault pentru cateva zile.
Dupa operatie veti fi externat, cu indicatiile aferente legate de recuperare si de controalele ulterioare. Mobilizarea precoce pasiva a articulatiei umarului este absolut necesara pentru ca pacientul sa isi recapete mobilitatea normala. Echipa noastra medicala indruma pacientul catre fizioterapie si kinetoterapie sub indrumarea unui medicilor nostri.
Pacientul trebuie sa inteleaga ca dupa operatie are anumite limitari in mobilitate, adica ii este interzis sa faca anumite miscari.
Acasa
Cu toate ca recuperarea dupa o astfel de tehnica este mult mai rapida, totusi, vor trece cateva saptamani pana o sa recuperati in totalitate articulatia umarului. Trebuie sa va asteptati la durere si disconfort, cel putin o saptamana postoperator. Gheata va duce la scaderea durerii si a inflamatiei.
Trebuie sa aveti grija sa nu dormiti pe umarul operat in primele saptamani, pentru ca durerile si disconfortul se pot accetua. Puteti face baie, dar fara sa udati bandajul si inciziile. Firele se suprima la 14 zile postoperator. Kinetoterapia joaca un rol foarte important in programul de reabilitare, iar exercitiile trebuie urmarite de catre un kinetoterapeut pana la terminarea perioadei de recuperare.
Este foarte important sa urmati cu strictete si seriozitate programul de recuperare pentru ca interventia chirurgicala sa fie un succes. Echipa noastra medicala lucreaza in medie cu pacientul dupa aceasta interventie, 12-18 saptamani pana la recuperarea completa a umarului.
In urma oricarei interventii chirurgicale, recuperarea medicala joaca un rol esential in reintegrarea pacientului sociala, profesionala si familiala. Pentru ca urmarim rezultatul optim pentru fiecare pacient care intra in clinica, medicina de recuperare de la Centrokinetic se bazeaza pe o echipa de medici si kinetoterapeuti experimentati si pe protocoale medicale standardizate .Centrokinetic este locul in care vei gasi raspunsuri si solutii clare pentru problemele de motricitate. Clinica dedicata afectiunilor osteoarticulare este impartita in urmatoarele departamente specializate:
- Ortopedie, departament compus dintr-o echipa de medici ortopezi extrem de experimentata, specializati in traumatologie sportiva.
- Ortopedie pediatrica, unde sunt tratate afectiunile sportive ale copiilor (leziuni ligamentare si de menisc), deformarile coloanei (scolioza, cifoza, hiperlordoza) si cele ale picioarelor (hallux valgus, hallux rigidus, picior var equin, picior plat valg, picior cav).
- Neurologie, ce dispune de un departament ultraperformant, unde sunt efectuate consultatii, electroencefalograme (EEG) si electromiografii (EMG).
- Recuperare medicala pentru adulti si copii, departament specializat in recuperarea sportivilor de performanta, in afectiunile coloanei vertebrale, in recuperarea copiilor cu afectiuni neurologice si traumatice. Experienta noastra este extrem de bogata, tratand peste 5000 de sportivi de performanta.
- Imagistica medicala, clinica fiind dotata cu ecograf si RMN, aparate performante dedicate afectiunilor musculoscheletale, si completata de un radiolog experimentat: Dr. Cosmin Pantu, specializat in imagistica musculo-scheletala.
- Reumatologie, departament complet care se ocupa cu diagnosticarea, tratarea si recuperarea bolnavilor cu afectiuni nechirurgicale ale aparatului locomotor.
- Chirurgie vasculara, departament supraspecializat in diagnosticarea si tratamentul bolilor sangvine, adica a arterelor, venelor si a vaselor limfatice.
- Psihologie si logopedie. Afectiunile neurologice sau osteoarticulare pot avea un impact psihologic asupra pacientului, de aceea consideram ca vindecarea completa presupune focusarea noastra atat asupra problemei osteoarticulare, cat si asupra consecintelor psihologice.
- Neurofeedback. Aceasta metoda revolutionara te ajuta sa-ti imbunatatesti concentrarea, sa reduci anxietatea si sa dobandesti un echilibru emotional, toate printr-un proces simplu si interactiv.
Afla noutatile urmarind conturile de Facebook, Instagram si YouTube ale clinicii Centrokinetic.

PROGRAMEAZA-TE PENTRU O CONSULTATIE
Pentru ca orice tratament in clinica noastra este bazat pe un diagnostic si se face sub urmarire medicala, pentru evaluarea permanenta a evolutiei.PROGRAMEAZA-TE
PROGRAMEAZA-TE
LA O CONSULTATIE
Vezi aici modalitatile de programare si localizarea clinicii
PROGRAMARE
MEDICI
BUCURESTI
MEDICI
CLUJ-NAPOCA
MEDICI
BRASOV
Asiguratori privati





Parteneriate




.jpg)
.jpg)



























































































































